전화상담
톡톡상담
오시는 길
하나부터 열까지 놓치지 않습니다.
여러분들의 주치의가 되겠습니다
아픔을 이해하고 함께하는 미도치과는
보건복지부 인증 통합 치의학과 전문의가 직접 진료합니다.
어디에서,
누구에게
치료 받으시겠습니까?
과잉 진료 없는 정직한 치과,
미도치과가 앞장서겠습니다.
내가족을 진료하는 마음으로 정성을 다합니다.
이미지1
이미지2
이미지3
이미지4
어디에서,
누구에게
치료 받으시겠습니까?
과잉 진료 없는 정직한 치과,
미도치과가 앞장서겠습니다.
내가족을 진료하는 마음으로 정성을 다합니다.
이미지1
이미지2
이미지3
이미지4
믿음을 심는 미도치과 의료진, 올바르고 정직한 진료만을 제공합니다.
2인 협진진료 의료진 소개
믿음을 심는 미도치과 의료진,
올바르고 정직한 진료만을 제공합니다.
2인 협진진료
의료진 소개
미도치과
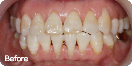
치아색상 고민
치아미백
여러가지 원인으로 변색된 치아를 삭제하거나
손상시키지 않고 미백제를 이용해 본래의 색으로
돌아갈 수 있또록 도와주는 진료
입니다.
치료 기간 : 2023년 5월 23일~2023년 5월 23일 (1일)
위 환자는 미도치과에서 직접 치료를 받았음을 밝힙니다. 치료 전후 환자는 동일 인물입니다.
개인에 따라서 시술 및 수술 후 부작용이 발생할 수 있으니 사전에 의료진과 충분한 상담 후 치료를 진행하시기 바랍니다.
보철치료
치아의 기능과 심미성을 회복하는 치료
보철치료
손상된 치아에 보철물을 씌우거나 붙여서 본래의 형태로 복원시키
고 기능을 되찾아주는 진료입니다. 전치분은 강도보다는 심미적인
지르코니아 블록이나 pfz 보철을 주로 하고 있고 소구치 대구치는
강도에 보다 중점을 두고 있습니다.
보존치료
발치없이 치아의 형태&기능 유지
보존치료
엔도소닉 블루 강력한 초음파로 '근관치료(신경치료)' 초음파를 사
용하여 신경조직을 효과적으로 제거하여 성공률을 높여줍니다.
정밀한 작업이 가능하여 치아 내부의 복잡한 구조를 정학하게 치료
할 수 있습니다.
잇몸치료
손상 잇몸을 회복시켜 보호하는 치료
잇몸치료
잇몸 깊숙이 자리 잡고 있는 치석과 치태를 제거하여
염증을 감소시키고 치주 질환 진행을 늦춰줍니다
• 미도치과 •
진료소개
치아색상 고민 치아미백
여러가지 원인으로 변색된 치아를 삭제하거나
손상시키지 않고, 미백제를 이용해 본래의 색으로
돌아갈 수 있도록 도와주는 진료
입니다.
치료 기간 : 2023년 5월 23일~2023년 5월 23일 (1일)
위 환자는 미도치과에서 직접 치료를 받았음을 밝힙니다.
치료 전후 환자는 동일 인물입니다.
개인에 따라서 시술 및 수술 후 부작용이 발생할 수 있으니
사전에 의료진과 충분한 상담 후 치료를 진행하시기 바랍니다.
보철치료
치아의 기능과 심미성을 회복하는 치료
보철치료
손상된 치아에 보철물을 씌우거나 붙여서
본래의 형태로 복원시키고
기능을 되찾아주는 진료입니다.
전치분은 강도보다는 심미적인 지르코니아 블록이나
pfz 보철을 주로 하고 있고
소구치 대구치는 강도에 보다 중점을 두고 있습니다.
보존치료
발치없이 치아의 형태&기능 유지
보존치료
엔도소닉 블루 강력한 초음파로
'근관치료(신경치료)' 초음파를 사용하여 신경조직을 효과적으로 제거하여
성공률을 높여줍니다.
정밀한 작업이 가능하여 치아 내부의 복잡한 구조를
정학하게 치료할 수 있습니다.
잇몸치료
손상 잇몸을 회복시켜 보호하는 치료
잇몸치료
잇몸 깊숙이 자리 잡고 있는
치석과 치태를 제거하여 염증을 감소시키고
치주 질환 진행을 늦춰줍니다
오스템1
오스템2
널리 검증받은 재료만을 사용합니다.
오스템 임플란트
정확하게, 신속하게, 통증 부담 다운,
국내 1위 임플란트인 오스템 임플란트는 오래된 역사와
임상 데이터를 보유하고 있어 한국의 구강에 더 잘 맞는 장점이 있습니다.
널리 검증받은 재료만을 사용합니다.
오스템 임플란트
정확하게, 신속하게, 통증 부담 다운,
국내 1위 임플란트인 오스템 임플란트는 오래된 역사와
임상 데이터를 보유하고 있어
한국의 구강에 더 잘 맞는 장점이 있습니다.
오스템1
오스템2
왜? 오스템 임플란트인가요
세계적인 검증된 선진 기술력 국내에서 높음 임플란트 정품 인증서
왜?
오스템
임플란트인가요
세계적인 검증된 선진 기술력 국내에서 높음 임플란트 정품 인증서
풀아치 임플란트1
풀아치 임플란트2
틀니를 대체하는 디지털 솔루션
풀아치 임플란트
꼭 필요한 위치에 적은 개수로 임플란트를 식립하여
고정형 보철물을 연결합니다.
합리적인 방식으로 전체 임플란트 효과를 누릴 수 있는 방법입니다.
틀니를 대체하는 디지털 솔루션
풀아치 임플란트
꼭 필요한 위치에 적은 개수로 임플란트를
식립하여 고정형 보철물을 연결합니다.
합리적인 방식으로 전체 임플란트 효과를
누릴 수 있는 방법입니다.
풀아치 임플란트1
풀아치 임플란트2
정확하게 비교하고 선택하세요!
틀니
틀니
가철식 (빼고 끼는 형태)
많음
낮음
잇몸뼈 흡수로 주기적인 관리
VS
구성
이물감
씹는힘
관리방법
풀아치
풀아치 임플란트
고정식 (임플란트 + 보철)
적음
높음
자연치아와 비슷
정확하게 비교하고
선택하세요!
틀니
틀니
구성
가철식 (빼고 끼는 형태)
이물감
많음
씹는 힘
낮음
관리방법
잇몸뼈 흡수로
주기적인 관리
풀아치
풀아치 임플란트
구성
가철식 (빼고 끼는 형태)
이물감
많음
씹는 힘
낮음
관리방법
자연치아와 비슷
풀아치, 이런 분들께 추천합니다
풀아치 추천1 풀아치 추천2 풀아치 추천3 풀아치 추천4
풀아치,
이런 분들께 추천합니다
풀아치 추천1 풀아치 추천2 풀아치 추천3 풀아치 추천4
미도치과 내부소개
내부소개
미도치과 진료안내
ㆍ오시는 길
서울특별시 강남구 대치동 511 미도상가 202-1
3호선 대치역 5번 출구에서 10미터 직진,
한보미도상가 신한은행 옆 4번 입구 계단을 이용하여
2층으로 오시면 됩니다.
ㆍ진료시간
평일 수요일 토요일 점심시간
오전 9:30 - 오후 6:30 오전 11:00 - 오후 8:30 🌙야간진료 오전 9:30 - 오후 2:00 오후 1:00 - 오후 2:00
* 일요일 및 공휴일 휴진
문의사항
진료안내
ㆍ오시는 길
서울특별시 강남구 대치동 511,
미도상가 202-1
3호선 대치역 5번 출구에서
10미터 직진,
한보미도상가 신한은행 옆 4번 입구
계단을 이용하여 2층으로 오시면 됩니다.
ㆍ진료시간
평일
오전 9:30 - 오후 6:30
수요일
오전 11:00 - 오후 8:30 🌙야간진료
토요일
오전 9:30 - 오후 2:00
점심시간
오후 1:00 - 오후 2:00
* 일요일 및 공휴일 휴진
×
비급여 진료비 안내